Services offerts
Traitements esthétiques
Vous voudriez améliorer l’apparence de votre sourire? Nous pouvons réaliser un plan de traitement qui répondra à vos attentes que ce soit avec des facettes, le remplacement d’obturations vieillissantes ou peut-
être d’un simple blanchiment.
Implantologie
Nous offrons le service de restaurations sur
implant, la couronne ou le pont sur implant étant la solution de choix pour remplacer une dent manquante.
Dentisterie opératoire (plombage)
Cette branche de la
médecine dentaire consiste à enlever les tissus durs affectés par la maladie infectieuse qu’est la carie et remplacer la partie manquante par une obturation - en d’autres mots, faire un plombage. Les obturations en composite (plombages blancs) sont les plus populaires, malgré que certaines situations requièrent l’utilisation de l’amalgame (plombage gris).
Endodontie
Lorsqu’une dent est douloureuse pendant une période prolongée ou suite à une infection, il peut être nécessaire de faire un traitement endodontique, populairement appelé traitement de canal. Un petit accès est fait jusqu’à l’intérieur de la dent pour enlever ses tissus mous, notamment les vaisseaux sanguins et les tissus nerveux malades. Le traitement est complété par une restauration appropriée, le patient pourra ainsi garder sa dent naturelle pendant des années.
Plaque occlusale
Vous arrive-t-il de serrer ou grincer les dents? Plusieurs personnes le font pendant la nuit et certaine même pendant le jour. Lorsqu’on remarque une usure prononcée sur les dents, un appareil de nuit est recommandé aux patients. Le but est de ralentir la perte de substance dentaire due aux forces excessives et/ou répétitives du bruxisme et/ou clenching, soulager les muscles de la mastication, ainsi que l’articulation temporo-mandibulaire.
Orthdontie
Nous offrons les services d’orthopédie dento-faciale à nos jeunes patients à partir de 4 ans, dès que leur coopération est adéquate. Par la suite, une fois que toutes les dents d’adulte sont en bouche, nous pouvons faire un traitement d’orthodontie. Pour en connaître d’avantage, consultez la section
COIN ENFANTS.
Parodontie
La maladie des gencives et d’os qui entourent les dents est très fréquente dans la population, notamment parce que les patients conservent leurs dents plus longtemps. Des nettoyages fréquents préviennent la maladie, mais dès l’apparition des premiers signes et symptômes, un traitement parodontal devrait être fait. Certaines maladies systémiques augmentent le risque de la parodontite, le diabète étant la plus commune. Si vos gencives saignent ou que vous avez de la sensibilité dentaire généralisée, consultez-nous pour savoir si vous êtes atteint de la parodontite.
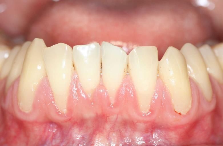
Greffes gingivales
Nous procédons à des
greffes gingivales autogènes, ce qui signifie que le patient est le donneur et le receveur des tissus. Si vous avez une gencive mince et des récessions gingivales, un tel traitement pourrait être nécessaire.
Dans certains cas, les dents ne sortent pas complètement de la gencive. Il est alors recommandé de les enlever de façon préventive avant l’âge de 25 ans. Cette intervention peut prévenir des complications ultérieures (carie de la dent de sagesse et sa voisine, une perte osseuse, une infection, la formation de kystes odontogènes, et autres), car ce sont les risques qui augmentent avec l’âge.













