Coin enfants
Premier rendez-vous
Vous pouvez prendre rendez-vous dès que vous avez une inquiétude concernant la bouche de votre enfant ou dès l’éruption de ses premières dents. Lors de sa première visite, vous pouvez l’accompagner dans la salle, surtout s’il est trop jeune pour communiquer adéquatement avec nous. Nous lui montrerons les lieux et l’assiérons sur la grande chaise. Nous pourrons alors tenter de regarder sa bouche et d’évaluer sa coopération. À partir de la visite suivante, il est préférable de laisser l’enfant aller seul dans la salle, pour lui montrer que vous nous faites confiance. De plus, cela permet une meilleure communication entre l’enfant et le professionnel. Nous vous recommandons de ne pas utiliser des phrases tels que : ‘’Ça ne fera pas mal’’, car cela suggère une possible douleur.
Nous utilisons la méthode ‘’show-tell-do’’ (montrer-expliquer-faire) avec les enfants, ce qui les rassure et nous permet de les traiter facilement. Soyez sans inquiétude, nous demandons à l’enfant son consentement pour tout ce que l’on fait et n’employons jamais la force physique pour intervenir.
Hygiène dentaire des enfants
Avant même la poussée des dents, vous pouvez utiliser une débarbouillette mouillée pour nettoyer les gencives et le palais de votre bébé. Cette action enlève les bactéries et les peaux mortes de ses tissus mous et diminue les risques d’infection fongique. Dès l’éruption des premières dents, vous pouvez utiliser une brosse et pâte-à-dents sans fluor (grosseur d’un petit pois). Lorsque que votre enfant est capable de tenir sa brosse à dent, vous pouvez le laisser brosser seul et vous repasserez ensuite sur chacune de ses dents. L’enfant ne devrait jamais se promener avec la brosse à dents dans la bouche, car une chute peut causer des blessures graves. Dès que les dents postérieures se touchent entres elles, incorporez la soie dentaire dans la routine pour éviter la formation de caries au niveau des points de contact. Il existe des portes soie qui peuvent vous faciliter la tâche. Quand l’enfant sera capable de cracher, il pourra utiliser la même pâte à dents que vous, qui est presque toujours fluorée.
Hygiène du sommeil de l'enfant
Les mêmes conseils d’hygiène du sommeil s’appliquent aux enfants qu’aux adultes. Éliminez le plus possible les sources d’allergènes, telles que les peluches, les doudous, les animaux et les tapis. Passez régulièrement l’aspirateur. Les intolérances alimentaires (par exemple : lactose, arachides, noix, soya) peuvent causer l’hypertrophie des amygdales et des adénoïdes, donc vous pouvez considérer une diète qui n’en contient pas. L’hygiène nasale est très utile pour le bon développement maxillo-facial et du même coup des voies respiratoires supérieures. La vidéo suivante produite par l’hôpital Sainte-Justine de Montréal illustre bien aux parents les étapes à suivre.
Un enfant peut souffrir, tout comme un adulte, de l’apnée du sommeil, mais les signes et symptômes sont quelque peu différents : la sudation nocturne, la respiration bruyante ou même le ronflement, la respiration buccale, les pauses respiratoires, les changements de positions ou les positions inhabituelles, le pipi au lit, les cauchemars, les réveils nocturnes, le manque de concentration, l’hyperactivité pendant la journée, les yeux cernés, des maux de tête, le grincement des dents en sont quelques-uns. Si vous suspectez des troubles respiratoires du sommeil chez votre tout-petit, n’hésitez pas à nous en parler à votre prochain rendez-vous.
Succion du pouce
C’est un processus physiologique normal qui débute déjà dans le deuxième trimestre de la gestation : le fœtus commence à introduire ses mains dans sa bouche. L’effet de succion renforce les muscles de la bouche et prépare l’enfant à pouvoir se nourrir au sein, ce qui demande beaucoup de force. Quand l’habitude persiste, elle empêche la croissance harmonieuse des muscles et des os du visage. Plusieurs méthodes peuvent être utilisées pour le sevrage, telles que les vernis à ongle au goût désagréable, le protège-pouce, les collants et j’en passe, mais ce sont tous simplement des aide-mémoires, rappelant à l’enfant de ne pas mettre les doigts dans sa bouche. S’il n’est pas prêt à délaisser cette habitude, l’arrêt peut être difficile. Pour éviter des conséquences irréversibles, il est recommandé que l’enfant arrête cette habitude avant l’âge de 4 ans. Si vous avez besoin d’aide, consultez-nous.
Alimentation
Voici quelques conseils concernant le développement du complexe maxillo-facial (bouche et visage) :
- L’allaitement apporte plusieurs bénéfices à l’enfant, entres autres, le bon développement des muscles et des os du visage, la respiration nasale et la position de la langue. De plus, le lait maternel ne cause pas de carie, contrairement aux formules de replacement.
- Si le bébé a de la difficulté à téter, s’endort avant de finir de boire, se réveille chaque heure pour boire à nouveau, ne prend pas de poids ou pour tout autre problème d’alimentation, consultez le médecin. Il se peut que son frein lingual soit trop court, nécessitant une frénectomie.
- Si un biberon doit être utilisé, le lait bovin semble être la meilleure option, s’il n’y a pas d’allergies, car il ne cause pas de carie. La cause principale de la carie du biberon sont les formules de remplacement du lait maternel, car elles sont riches en sucre.
- Essayez d’éviter complètement les suces. Dans le cas où votre enfant l’a déjà adoptée, utilisez une suce orthodontique. Notez qu’elle doit être changée selon l’âge de l’enfant, c’est à dire, de sa grandeur. Il existe des suces pour les prématurés, de 0-6 mois, 6-18 mois et 18-36 mois. Il va sans dire que de tremper la suce dans le miel, le chocolat ou l’alcool est fortement déconseillé.
- Quand viendra le temps d’introduire les aliments solides, il faut prendre en considération leur texture : plus l’aliment est dur et épais, plus qu’il y aura de croissance des mâchoires par la stimulation lors de la mastication. Demandez l’aide de professionnels de la santé tel qu’un nutritionniste, qui vous renseignera sur les méthodes d’introduction des aliments pour diminuer les risques d’allergies et d’étouffement.
- Les aliments collants et riches en sucre causent plus de caries que les aliments gras et croquants. Si l’enfant ne peut pas se brosser les dents dans la demi-heure qui suit le repas, par exemple à l’heure du diner à l’école, il peut diminuer le risque de carie en finissant son repas avec un morceau de fromage ferme, une crudité ou des noix.
- Les boissons riches en sucre (smoothies, jus, yogourts liquides, etc.) devraient être bu pendant une période raisonnablement limitée versus être siroté pendant toute la journée, car plus longtemps les dents sont en contact avec le sucre, plus elles risquent de carier.
- Finalement, il est préférable d’attendre 15 à 30 minutes après le repas pour brosser les dents. Ceci permet à la salive de reminéraliser l’émail et limiter l’érosion causée par le frottement.
Orthpédie et orthodontie pour enfant
Lors des examens dentaires, nous vérifions le développement du complexe maxillo-facial de l’enfant. Si nécessaire, nous pouvons faire des traitements orthopédiques dès que l’enfant coopère assez bien pour le réaliser, habituellement dès l’âge de 4 ans. Ceci peut sembler trop tôt pour certains parents, puisque la majorité des traitements orthodontiques se font à l’adolescence, lorsque les dents permanentes sont en bouche. Il faut comprendre la différence entre un traitement orthopédique et orthodontique : un traitement orthopédique se fait dans le but de diriger favorablement la croissance osseuse, tandis qu’un traitement orthodontique place les dents droites.
Chez les tout-petits, nous faisons de la réhabilitation neuro-occlusale pour corriger l’occlusion croisée, la rétrognathie maxillaire ou mandibulaire et autres problèmes occlusaux.
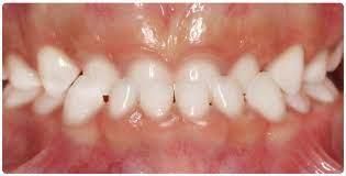
Ce traitement consiste à mettre du composite sur les dents primaires postérieures afin d’éliminer les interférences occlusales et de permettre à la mâchoire de glisser librement lors de la mastication, ce qui stimule la croissance. Cette méthode a été développée par le Dr Pedro Planas, un dentiste et médecin espagnol intéressé par l’otorhinolaryngologie, dans les années 1960 et de nombreuses recherches ont démontré les bienfaits de cette thérapie facilement réalisable dans la petite enfance. Ce traitement peu utilisé au Québec est courant ailleurs dans le monde, entre-autres en Europe.
Ci-bas, vous pourrez voir les photographies d’un enfant qui a eu le traitement de réhabilitation neuro-occlusale. Ceci vous permet de voir à quel point ce traitement est peu invasif.
Les habitudes orales telles que la succion du pouce, la suce, l’onychophagie (rongement des ongles) et la déglutition infantile interfèrent avec la croissance osseuse. Si vous avez besoin d’aide pour la cessation de ces dernières chez votre enfant, nous sommes disponibles.
La thérapie myofonctionnelle et respiratoire est indispensable lors du traitement d’orthopédie. Il s’agit d’exercices permettant d’apprendre à utiliser les muscles appropriés lors de la mastication, la déglutition, la respiration et la parole. Ceci favorise une croissance harmonieuse du visage et des voies respiratoires supérieures, ainsi qu’une position dentaire plus stable.
Il est généralement recommandé par les associations orthodontiques que tous les enfants passent un examen de dépistage dès l’âge de 6 ans. À ce stade nous pouvons utiliser des appareils fixes (collés) ou amovibles pour diriger la croissance des mâchoires, et dans certains cas, corriger les habitudes orales, tel que la succion du pouce. De cette manière, nous pouvons augmenter l’espace disponible pour les dents permanentes, faire plus de place pour la langue (ce qui améliore la respiration, la posture, la mastication et la déglutition), améliorer l’apparence du visage, rendre le traitement orthodontique moins compliqué et plus court, etc.
Nous utilisons les coquilles d’alignement pour les traitements orthodontiques de nos patients qui ont déjà eu un traitement orthopédique.













